If you need a full service CRO to conduct a multinational clinical trial in Europe, please contact us at info@sofpromed.com In the field of clinical research, Europe holds a prominent position, attracting numerous biotechnology and pharmaceutical companies to conduct...
Sofpromed provides CRO services in France. If you need support to conduct a clinical trial in French clinical sites, please contact us at info@sofpromed.com France has long been recognized as a hub for conducting clinical trials, offering a well-established and highly...
If you need a CRO to conduct an early-phase clinical trial in the United States, United Kingdom, Europe, or Australia, you can contact us at info@sofpromed.com Clinical research organization (CRO) services play a fundamental role in the success of early-phase clinical...
Illustrative image of the destruction of a leukemia cell (Dr_Microbe, iStock by Getty Images) Please contact us at info@sofpromed.com if you need a CRO to conduct a leukemia clinical trial in the US Over the last few decades, recent scientific research and...
Please contact us at info@sofpromed.com if you need a CRO to conduct a soft tissue sarcoma clinical trial in the US Are you a small or midsized biotech company planning a clinical trial in soft tissue sarcoma? If your answer is yes, then you may be interested in...
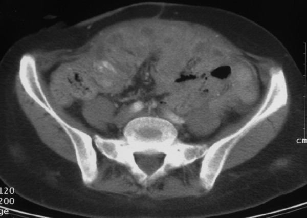
If you need a CRO to conduct an ovarian cancer clinical trial in the US, please contact us at info@sofpromed.com Are you a biotechnology or pharmaceutical company looking for a clinical research organization (CRO) partner specialized in ovarian cancer clinical trials...
If you are looking for a CRO to conduct a phase 1 oncology clinical trial in Spain, please contact us. Spain is a strategic and attractive country to conduct phase 1 clinical trials in oncology. In fact, Spain is one of the top 4 countries with more clinical trials...
If you need a Clinical Research Organization (CRO) for clinical trials in France, please contact us at info@sofpromed.com France is one of the most attractive countries to conduct clinical trials at both European and international level. The prestige enjoyed by this...
If you need an oncology CRO to carry out a cancer clinical trial, please contact us at info@sofpromed.com Oncology is one of the main therapeutic areas in which clinical trials are conducted worldwide. With an estimated U.S. market value of $100 billion by 2022,...
If you are a small biotech company needing CRO services, you can contact us at info@sofpromed.com Small biotech companies getting started with their first early phase clinical trials have particular characteristics and needs to be considered. The structure,...
Welcome to the basic information about the cookies on the website of the entity: SOFPROMED INVESTIGACIÓN CLÍNICA SL.
A cookie is a small information file that is stored on your computer, smartphone or tablet every time you visit our website. Some cookies are ours and others belong to external companies that provide services for our website.
Cookies can be of several types: technical cookies are necessary for our website to work, do not need your authorization and are the only ones we have activated by default. Therefore, they are the only cookies that will be active if you only press the ACCEPT button.
The rest of cookies serve to improve our webpage, to personalize it based on your preferences, or to be able to show you advertising adjusted to your searches and personal interests. All of them are deactivated by default, but you can activate them in our COOKIES CONFIGURATION section: take control and enjoy a personalized navigation on our page, with a step as simple and fast as checking the boxes you want.
If you want more information, consult the COOKIES POLICY of our website
Welcome to the basic information about cookies on the website, the entity's responsibility: Sofpromed Investigación Clínica S.L.
A cookie or computer cookie is a small information file that is saved on your computer, "smartphone" or tablet every time you visit our website. Some cookies are ours and others belong to external companies that provide services for our website.
Cookies can be of various types: technical cookies are necessary for our website to function, they do not require your authorization and are the only ones that we have activated by default. Therefore, they are the only cookies that will be active if you only press the ACCEPT button.
The rest of cookies serve to improve our page, to personalize it based on your preferences, or to be able to show you advertising tailored to your searches, tastes and personal interests. We have all of them deactivated by default, but you can activate them in our COOKIES CONFIGURATION section: take control and enjoy personalized navigation on our page, with a step as simple and fast as checking the boxes you want.
For more information, see the Cookies Policy on our website.
Technical cookies are strictly necessary for our website to function and for you to navigate through it. These types of cookies are those that, for example, allow us to identify you, give you access to certain restricted parts of the page if necessary, or remember different options or services already selected by you, such as your privacy preferences. Therefore, they are activated by default, and your authorization is not necessary in this regard.
Through your browser settings, you can block or alert you to the presence of this type of cookies, although said blocking will affect the correct functioning of the different functionalities of our website.
Analysis cookies allow us to study user navigation of our website in general (for example, which sections of the page are the most visited, which services are used the most and if they work correctly, etc.).
Using statistical information about navigation on our website, we can improve both the operation of the website and the different services it offers. Therefore, these cookies do not have advertising purposes, but only serve to make our website work better, adapting to our users in general. By activating them you will contribute to said continuous improvement.
You can activate or deactivate these cookies by checking the corresponding box, being deactivated by default.
Functionality cookies allow us to remember your preferences, to personalize certain general features and options of our website to your needs, each time you access it (for example, the language in which the information is presented to you, the sections marked as favorites, your type of browser, etc.).
Therefore, these types of cookies do not have an advertising purpose, but by activating them you will improve the functionality of the website (for example, adapting to your type of browser) and personalizing it based on your preferences (for example, presenting information in the language you have chosen on previous occasions), which will contribute to the ease, usability and comfort of our page during your navigation.
You can activate or deactivate these cookies by checking the corresponding box, being deactivated by default.
Advertising cookies allow us to manage the advertising spaces included on our website based on criteria such as the content displayed or the frequency with which the ads are displayed.
For example, if you have been shown the same advertisement several times on our website, and you have not shown personal interest by clicking on it, it will not appear again. In summary, by activating this type of cookies, the advertising displayed on our website will be more useful and diverse, and less repetitive.
You can activate or deactivate these cookies by checking the corresponding box, being deactivated by default.
Behavioral advertising cookies allow us to obtain information based on the observation of your browsing habits and behaviors on the web, in order to be able to show you advertising content that best suits your personal tastes and interests.
So that you understand it in a very simple way, we will give you a fictitious example: if your last searches on the web were related to suspense literature, we would show you advertising for suspense books.
Therefore, by activating this type of cookies, the advertising that we show you on our website will not be generic, but will be oriented to your searches, tastes and interests, therefore adjusting exclusively to you.
You can activate or deactivate these cookies by checking the corresponding box, being deactivated by default.